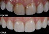
Високоестетична фотополимерна фасета (бондинг) на един зъб от дентален кабинет д-р Чорбаджаков - ж.к. Дружба 1
Описание:
Радвайте се на красива и здрава усмивка!
Заповядайте в дентален кабинет д-р Чорбаджаков - Дружба!
Офертата включва:
- Фотополимерна фасета (бондинг) на един зъб
- Всеки пациент, закупил ваучер, ползва 20% отстъпка от цените на всички услуги в денталния кабинет
- Работи се с много висок клас изцяло керамичен възстановителен фотокомпозитен материал на един от лидерите на пазара - немската фирма Voco
Доплащания:
- Поставяне на упойка (ако има необходимост)
УСЛОВИЯ НА ОФЕРТАТА:
- Необходимо е да представите разпечатан Вашия ваучер преди извършване на процедурата
- Всеки може да закупи до 2 ваучера за себеси и неограничен брой за подарък
- От актуалната промоция можете да се възползвате единствено чрез закупуване на ваучер от Deals.bg
- Всички общи условия на Deals.bg
- Ваучерът е валиден до: 31.08.2017г.
- Необходимо е предварително записване на час, преди да закупите ваучер, на телефон: 0895769665
- При неявяване в записан от клиента час, ваучерът се анулира и сумата по него не се възстановява
- Промяна или отмяна на записан час се прави еднократно и поне един ден по-рано, при повторно неявяване ваучерът се анулира и сумата по него не се възстановява
- При закъснение за записан час повече от 15 минути, часът се губи и сумата по ваучера не се възстановява
- Адрес на стоматологичния кабинет: София, район Искър, жк Дружба 1, бл. 2, ет. 2, ап. 2
- Работно време: понеделник-петък 10:00 - 18:00ч.
Допълнителна информация:
Високоестетично композитно възстановяване (бондинг) е процедура, при която се коригират различни несъвършенства на зъбите като цвят, форма, големина, отчупвания или разстояния между тях. Използва се високоестетичен фотополимерен материал, силно наподобяващ естествения цвят на зъбния емайл.
Процедурата е подходяща при всички случаи на нарушена естетика във фронталната област: оцветени зъби, отчупени ръбове, стари и потъмнели пломби, кариеси. С бондинг успешно се възстановяват дефекти като разстояние между зъбите (диастеми, треми), неправилна форма и размер на зъбната коронка.
Основни предимства на директните композитни възстановявания са значително по-ниската цена от тази на керамичните фасети и корони, минимално инвазивно изпиляване и щадене на наличните зъбни тъкани, завършване на лечението в едно посещение, без ангажиране на зъботехническа лаборатория, висока естетика и естествен вид на зъба.
Работи се с много висок клас изцяло керамичен възстановителен фотокомпозитен материал на един от лидерите на пазара- немската фирма Voco.
****
ВАЖНО!
Може да се възползвате от актуалната промоция само чрез закупуване на ваучер от Deals.bg. Неизползван в срок ваучер се счита за невалиден и сумата по него не се възстановява!
Въпроси и отговори:
Подобни оферти
-
Професионално избелване на зъби и почистване на зъбен камък, д-р Георгиев-43%
Стоматологична клиника д-р Георгиев
199.00 лв. 101.75 € -
Почистване на зъбен камък и плака с ултразвук, Дентален кабинет д-р Маринашева-72%
Кабинет по дентална медицина д-р Маринашева
39.90 лв. 20.40 € -
Избелване на зъби с DeaLux лампа + Pola Office система-50%
Дентална Практика Фрисон
220.00 лв. 112.48 € -
Преглед и почистване на зъбен камък във Дентална клиника Фрисон-79%
Дентална Практика Фрисон
25.10 лв. 12.83 € -
Фотополимерна пломба и почистване на зъбен камък в Дентален кабинет д-р Маринашева-67%
Кабинет по дентална медицина д-р Маринашева
49.50 лв. 25.31 € -
Изследване на пълна кръвна картина и биохимични показатели в Лаборатории Кандиларов-42%
Лаборатории Кандиларов
32.00 лв. 16.36 € -
За идеална фигура! Комбинирана терапия кавитация, RF, масаж в Салон Вили-61%
Салон за красота "Вили"
45.00 лв. 23.01 € -
Изследване на TSH - рецепторни антитела (TRAB,) в Лаборатории Кандиларов-13%
Лаборатории Кандиларов
35.00 лв. 17.90 € -
Лазерно лечение на гъбички по ноктите + медикамент в Салон за красота Вили
Салон за красота "Вили"
10.90 лв. 5.57 € -
Изследване на хормон на щитовидна жлеза и биохимични изследвания, Лаборатории Кандиларов-37%
Лаборатории Кандиларов
42.30 лв. 21.63 € -
Перфектното тяло! Кавитация на две зони по избор в Салон за красота Вили-34%
Салон за красота "Вили"
19.90 лв. 10.17 € -
За Вашето здраве! Пакет изследвания "Ревматоиден артрит" в СМДЛ Кандиларов
Лаборатории Кандиларов
60.00 лв. 30.68 €
Описание:
Радвайте се на красива и здрава усмивка!
Заповядайте в дентален кабинет д-р Чорбаджаков - Дружба!
Офертата включва:
- • Фотополимерна фасета (бондинг) на един зъб
- • Всеки пациент, закупил ваучер, ползва 20% отстъпка от цените на всички услуги в денталния кабинет
- • Работи се с много висок клас изцяло керамичен възстановителен фотокомпозитен материал на един от лидерите на пазара - немската фирма Voco
Доплащания:
- • Поставяне на упойка (ако има необходимост)
УСЛОВИЯ НА ОФЕРТАТА:
- • Необходимо е да представите разпечатан Вашия ваучер преди извършване на процедурата
- • Всеки може да закупи до 2 ваучера за себеси и неограничен брой за подарък
- • От актуалната промоция можете да се възползвате единствено чрез закупуване на ваучер от Deals.bg
- • Всички общи условия на Deals.bg
- • Ваучерът е валиден до: 31.08.2017г.
- • Необходимо е предварително записване на час, преди да закупите ваучер, на телефон: 0895769665
- • При неявяване в записан от клиента час, ваучерът се анулира и сумата по него не се възстановява
- • Промяна или отмяна на записан час се прави еднократно и поне един ден по-рано, при повторно неявяване ваучерът се анулира и сумата по него не се възстановява
- • При закъснение за записан час повече от 15 минути, часът се губи и сумата по ваучера не се възстановява
- • Адрес на стоматологичния кабинет: София, район Искър, жк Дружба 1, бл. 2, ет. 2, ап. 2
- • Работно време: понеделник-петък 10:00 - 18:00ч.
Допълнителна информация:
Високоестетично композитно възстановяване (бондинг) е процедура, при която се коригират различни несъвършенства на зъбите като цвят, форма, големина, отчупвания или разстояния между тях. Използва се високоестетичен фотополимерен материал, силно наподобяващ естествения цвят на зъбния емайл.
Процедурата е подходяща при всички случаи на нарушена естетика във фронталната област: оцветени зъби, отчупени ръбове, стари и потъмнели пломби, кариеси. С бондинг успешно се възстановяват дефекти като разстояние между зъбите (диастеми, треми), неправилна форма и размер на зъбната коронка.
Основни предимства на директните композитни възстановявания са значително по-ниската цена от тази на керамичните фасети и корони, минимално инвазивно изпиляване и щадене на наличните зъбни тъкани, завършване на лечението в едно посещение, без ангажиране на зъботехническа лаборатория, висока естетика и естествен вид на зъба.
Работи се с много висок клас изцяло керамичен възстановителен фотокомпозитен материал на един от лидерите на пазара- немската фирма Voco.
****
ВАЖНО!
Може да се възползвате от актуалната промоция само чрез закупуване на ваучер от Deals.bg. Неизползван в срок ваучер се счита за невалиден и сумата по него не се възстановява!
За Дентален кабинет д-р Чорбаджаков - Дружба:
- Дентален кабинет д-р Чорбаджаков - Дружба
- София, район Искър, жк Дружба 1, бл. 2, ет. 2, ап. 2
- 0895769665
- Понеделник-петък 10:00 - 18:00 ч.
-
4.17
- 6 ОЦЕНКИ
- 0 активни оферти
- 32 продадени ваучери
Подобни оферти
-
Професионално избелване на зъби и почистване на зъбен камък, д-р Георгиев-43%
Стоматологична клиника д-р Георгиев
199.00 лв. 101.75 € -
Почистване на зъбен камък и плака с ултразвук, Дентален кабинет д-р Маринашева-72%
Кабинет по дентална медицина д-р Маринашева
39.90 лв. 20.40 € -
Избелване на зъби с DeaLux лампа + Pola Office система-50%
Дентална Практика Фрисон
220.00 лв. 112.48 € -
Преглед и почистване на зъбен камък във Дентална клиника Фрисон-79%
Дентална Практика Фрисон
25.10 лв. 12.83 € -
Фотополимерна пломба и почистване на зъбен камък в Дентален кабинет д-р Маринашева-67%
Кабинет по дентална медицина д-р Маринашева
49.50 лв. 25.31 € -
Изследване на пълна кръвна картина и биохимични показатели в Лаборатории Кандиларов-42%
Лаборатории Кандиларов
32.00 лв. 16.36 € -
За идеална фигура! Комбинирана терапия кавитация, RF, масаж в Салон Вили-61%
Салон за красота "Вили"
45.00 лв. 23.01 € -
Изследване на TSH - рецепторни антитела (TRAB,) в Лаборатории Кандиларов-13%
Лаборатории Кандиларов
35.00 лв. 17.90 € -
Лазерно лечение на гъбички по ноктите + медикамент в Салон за красота Вили
Салон за красота "Вили"
10.90 лв. 5.57 € -
Изследване на хормон на щитовидна жлеза и биохимични изследвания, Лаборатории Кандиларов-37%
Лаборатории Кандиларов
42.30 лв. 21.63 € -
Перфектното тяло! Кавитация на две зони по избор в Салон за красота Вили-34%
Салон за красота "Вили"
19.90 лв. 10.17 € -
За Вашето здраве! Пакет изследвания "Ревматоиден артрит" в СМДЛ Кандиларов
Лаборатории Кандиларов
60.00 лв. 30.68 €